MR Traktografi

Kariyer puanı: 39.000 puan
Satıcı: Clinic Medi
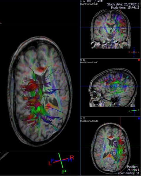
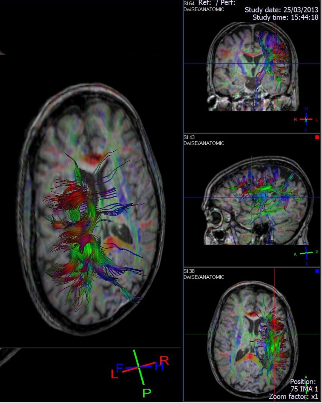
MR Traktografi, manyetik rezonans görüntüleme (MR) teknolojisinin özel bir uygulamasıdır ve beyin veya omurilikteki sinir yollarının (beyin aksonlarının) haritalanmasını sağlar. Daha basit bir ifadeyle, MR Traktografi, beyindeki “sinir yollarının yollarını” 3 boyutlu olarak görselleştirir.
  • Nasıl çalışır?

    • MR Traktografi, genellikle Diffusion Tensor Imaging (DTI) adı verilen bir MR tekniği kullanır.

    • Bu teknik, su moleküllerinin beyin dokusu içindeki hareketini izler. Su molekülleri sinir lifleri boyunca daha kolay hareket ettiği için, bu hareketin yönü sinir yollarının yönünü gösterir.

  • Ne amaçla kullanılır?

    • Beyin tümörleri veya lezyonları ameliyat öncesi planlamak.

    • Multiple skleroz, felç, travmatik beyin hasarı gibi hastalıkların etkilediği sinir yollarını incelemek.

    • Araştırmalarda beyin bağlantılarını ve sinir ağlarını anlamak.

  • Avantajları:

    • İnvaziv değildir (yani cerrahi veya iğne gerektirmez).

    • Sinir yollarının 3 boyutlu ve ayrıntılı görüntülerini sağlar.

  • Sınırlamaları:

    • MR Traktografi doğrudan sinir hücrelerini göstermez, yalnızca su moleküllerinin hareketini takip ederek dolaylı bir harita çıkarır.

    • Çok küçük veya karmaşık çapraz sinir yollarında bazı hatalar olabilir.

  • Nasıl çalışır?

    • MR Traktografi, genellikle Diffusion Tensor Imaging (DTI) adı verilen bir MR tekniği kullanır.

    • Bu teknik, su moleküllerinin beyin dokusu içindeki hareketini izler. Su molekülleri sinir lifleri boyunca daha kolay hareket ettiği için, bu hareketin yönü sinir yollarının yönünü gösterir.

  • Ne amaçla kullanılır?

    • Beyin tümörleri veya lezyonları ameliyat öncesi planlamak.

    • Multiple skleroz, felç, travmatik beyin hasarı gibi hastalıkların etkilediği sinir yollarını incelemek.

    • Araştırmalarda beyin bağlantılarını ve sinir ağlarını anlamak.

  • Avantajları:

    • İnvaziv değildir (yani cerrahi veya iğne gerektirmez).

    • Sinir yollarının 3 boyutlu ve ayrıntılı görüntülerini sağlar.

  • Sınırlamaları:

    • MR Traktografi doğrudan sinir hücrelerini göstermez, yalnızca su moleküllerinin hareketini takip ederek dolaylı bir harita çıkarır.

    • Çok küçük veya karmaşık çapraz sinir yollarında bazı hatalar olabilir.

Kendi görüşünü yaz
  • Henüz yorum yapılmadı
  • Sadece kayıtlı kullanıcılar yorum yazabilir
*
*
Kötü
Mükemmel
Sadece kayıtlı kullanıcılar yorum yazabilir