Perfüzyon MR

Kariyer puanı: 29000 puan
Satıcı: Clinic Medi
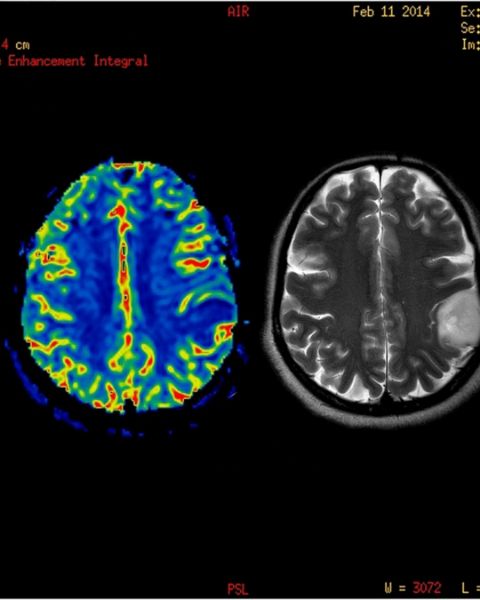
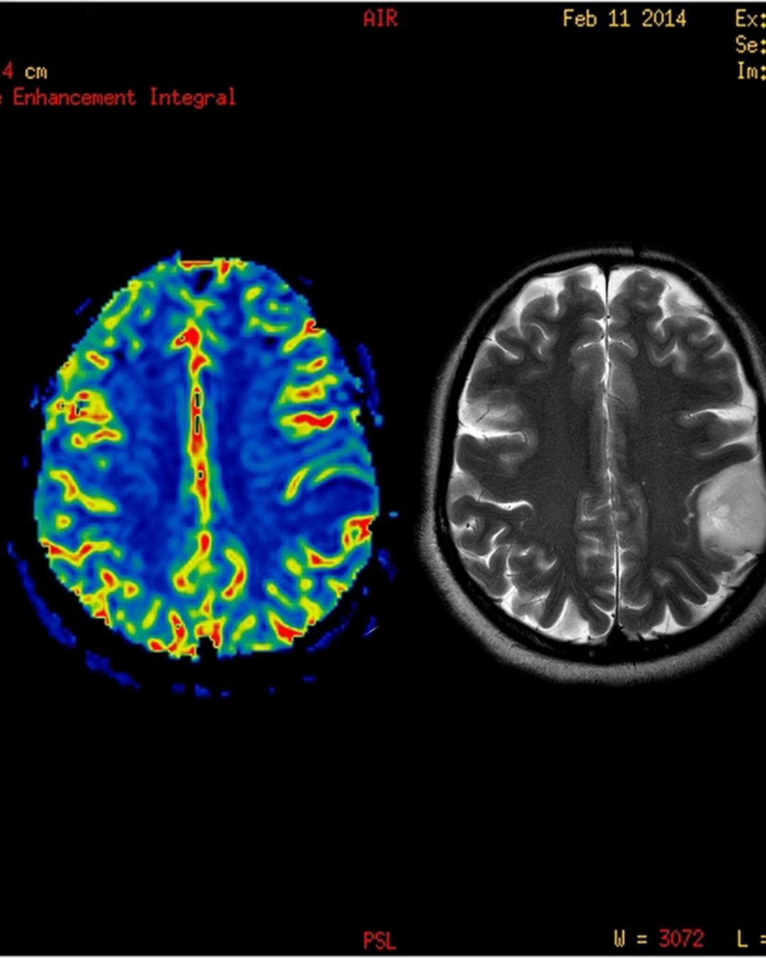
Perfüzyon MR (Manyetik Rezonans Perfüzyon), manyetik rezonans görüntüleme (MR) yönteminin bir türüdür ve dokuların kan akışını değerlendirmek için kullanılır. Özellikle beyin, kalp ve bazı tümörlerin kanlanmasının incelenmesinde yaygındır.

Perfüzyon MR nasıl çalışır?
Bu yöntemde, damardan verilen kontrast maddesi veya kontrastsız teknikler kullanılarak, dokulara geçen kan miktarı ve kan akış hızı ölçülür. Böylece, dokuya ne kadar kan geldiği ve bunun zaman içindeki dağılımı görüntülenir.

Neden yapılır?

  • İnme (stroke) tanısı ve tedavi planlamasında

  • Beyin tümörlerinin kanlanmasının değerlendirilmesinde

  • Kalp kasının kan akışının incelenmesinde

  • Bazı organların hastalıklarında kan akışı bozukluklarının tespitinde

Kısaca, Perfüzyon MR dokuların ne kadar iyi kanlandığını göstererek, hastalıkların tanısı ve tedavisinde önemli bilgiler sağlar.

Perfüzyon MR nasıl çalışır?
Bu yöntemde, damardan verilen kontrast maddesi veya kontrastsız teknikler kullanılarak, dokulara geçen kan miktarı ve kan akış hızı ölçülür. Böylece, dokuya ne kadar kan geldiği ve bunun zaman içindeki dağılımı görüntülenir.

Neden yapılır?

  • İnme (stroke) tanısı ve tedavi planlamasında

  • Beyin tümörlerinin kanlanmasının değerlendirilmesinde

  • Kalp kasının kan akışının incelenmesinde

  • Bazı organların hastalıklarında kan akışı bozukluklarının tespitinde

Kısaca, Perfüzyon MR dokuların ne kadar iyi kanlandığını göstererek, hastalıkların tanısı ve tedavisinde önemli bilgiler sağlar.

Kendi görüşünü yaz
  • Henüz yorum yapılmadı
  • Sadece kayıtlı kullanıcılar yorum yazabilir
Sadece kayıtlı kullanıcılar yorum yazabilir