Kranial BT

Kariyer puanı: 13.000 puan
Satıcı: Clinic Medi
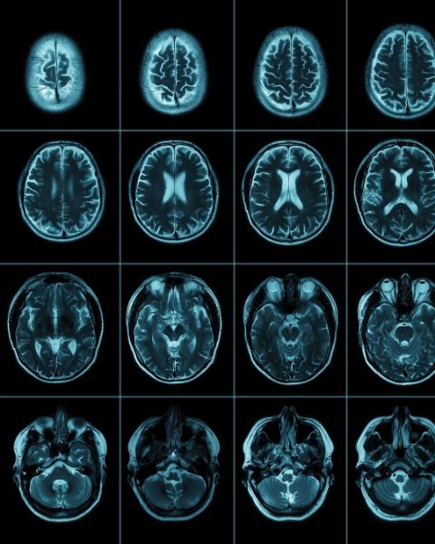
Kranial BT (Bilgisayarlı Tomografi), kafatası ve beyin yapılarının ayrıntılı olarak görüntülenmesini sağlayan bir radyolojik tetkiktir.

📌 Ne için yapılır?

  • Beyin kanaması, tümör, damar tıkanıklığı veya anevrizma şüphesi

  • Travma (düşme, kaza, darbe sonrası)

  • İnme (felç) tanısı

  • Baş ağrısı, baş dönmesi, bilinç bulanıklığı gibi şikayetlerin araştırılması

  • Doğumsal ya da sonradan gelişen beyin ve damar hastalıklarının incelenmesi

📌 Nasıl yapılır?

  • Hasta masa üzerine yatırılır, cihazın içine doğru kaydırılır.

  • X ışınları kullanılarak beynin ve kafatasının çok ince kesitli görüntüleri alınır.

  • İşlem genellikle 5–10 dakika sürer.

  • Bazı durumlarda damarların daha iyi görülmesi için damardan kontrast madde (ilaçlı BT) verilebilir.

📌 Avantajı: Beyin ve damar yapılarının hızlı, ayrıntılı ve acil durumlarda hayat kurtarıcı şekilde görüntülenmesini sağlar.

📌 Dezavantajı: Radyasyon içerir, ancak çoğu durumda alınan fayda riske göre çok daha yüksektir.

📌 Ne için yapılır?

  • Beyin kanaması, tümör, damar tıkanıklığı veya anevrizma şüphesi

  • Travma (düşme, kaza, darbe sonrası)

  • İnme (felç) tanısı

  • Baş ağrısı, baş dönmesi, bilinç bulanıklığı gibi şikayetlerin araştırılması

  • Doğumsal ya da sonradan gelişen beyin ve damar hastalıklarının incelenmesi

📌 Nasıl yapılır?

  • Hasta masa üzerine yatırılır, cihazın içine doğru kaydırılır.

  • X ışınları kullanılarak beynin ve kafatasının çok ince kesitli görüntüleri alınır.

  • İşlem genellikle 5–10 dakika sürer.

  • Bazı durumlarda damarların daha iyi görülmesi için damardan kontrast madde (ilaçlı BT) verilebilir.

📌 Avantajı: Beyin ve damar yapılarının hızlı, ayrıntılı ve acil durumlarda hayat kurtarıcı şekilde görüntülenmesini sağlar.

📌 Dezavantajı: Radyasyon içerir, ancak çoğu durumda alınan fayda riske göre çok daha yüksektir.

Kendi görüşünü yaz
  • Henüz yorum yapılmadı
  • Sadece kayıtlı kullanıcılar yorum yazabilir
*
*
Kötü
Mükemmel
Sadece kayıtlı kullanıcılar yorum yazabilir