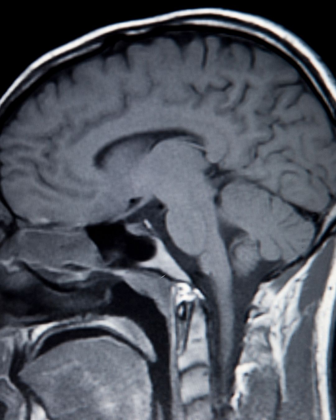
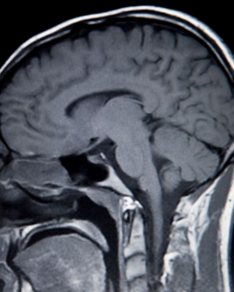
Hipofiz (Sella) MR

Kariyer puanı: 17000 puan
Satıcı: Clinic Medi
Hipofiz (Sella) MR, hipofiz bezinin ve çevresindeki yapıların manyetik rezonans görüntüleme (MR) yöntemiyle incelenmesidir.

1. Hipofiz Bezi Nedir?

Hipofiz bezi, beynin alt kısmında, kafatasının tabanında bulunan küçük bir bezdir ve hormon üretiminden sorumludur. Hormonlar, büyüme, üreme, metabolizma ve stres yanıtı gibi vücut fonksiyonlarını düzenler.


2. Sella Nedir?

Sella turcica, hipofizin yerleştiği kafatasındaki kemik yapıya verilen isimdir. MR çekimi sırasında genellikle “sella” bölgesi vurgulanır.


3. Hipofiz MR’ı Ne İçin Yapılır?

  • Hipofiz tümörleri veya kistler (adenom, kistik lezyonlar)

  • Hormon dengesizliklerinin kaynağını araştırmak

  • Görme bozukluklarına neden olan bası etkilerini incelemek

  • Hipofiz bezinin yapısal anomalilerini görmek

  • Cerrahi öncesi planlama


4. MR Nasıl Yapılır?

  • MR cihazı içinde yatılır, genellikle 20–40 dakika sürer.

  • Gerekirse damar yolu ile kontrast madde (gadolinyum) uygulanır.

  • Hareket etmemek önemlidir, çünkü küçük yapılar incelendiği için görüntü netliği kritik önemdedir.


5. Avantajları

  • Radyasyon içermez.

  • Hipofiz ve çevresindeki yumuşak dokuları detaylı gösterir.

  • Küçük tümörleri ve kistleri saptamada çok hassastır.


Özetle, Hipofiz (Sella) MR, hipofiz bezinin sağlıklı olup olmadığını ve olası hastalıkları detaylı şekilde değerlendirmek için yapılan güvenli bir görüntüleme yöntemidir.

1. Hipofiz Bezi Nedir?

Hipofiz bezi, beynin alt kısmında, kafatasının tabanında bulunan küçük bir bezdir ve hormon üretiminden sorumludur. Hormonlar, büyüme, üreme, metabolizma ve stres yanıtı gibi vücut fonksiyonlarını düzenler.


2. Sella Nedir?

Sella turcica, hipofizin yerleştiği kafatasındaki kemik yapıya verilen isimdir. MR çekimi sırasında genellikle “sella” bölgesi vurgulanır.


3. Hipofiz MR’ı Ne İçin Yapılır?

  • Hipofiz tümörleri veya kistler (adenom, kistik lezyonlar)

  • Hormon dengesizliklerinin kaynağını araştırmak

  • Görme bozukluklarına neden olan bası etkilerini incelemek

  • Hipofiz bezinin yapısal anomalilerini görmek

  • Cerrahi öncesi planlama


4. MR Nasıl Yapılır?

  • MR cihazı içinde yatılır, genellikle 20–40 dakika sürer.

  • Gerekirse damar yolu ile kontrast madde (gadolinyum) uygulanır.

  • Hareket etmemek önemlidir, çünkü küçük yapılar incelendiği için görüntü netliği kritik önemdedir.


5. Avantajları

  • Radyasyon içermez.

  • Hipofiz ve çevresindeki yumuşak dokuları detaylı gösterir.

  • Küçük tümörleri ve kistleri saptamada çok hassastır.


Özetle, Hipofiz (Sella) MR, hipofiz bezinin sağlıklı olup olmadığını ve olası hastalıkları detaylı şekilde değerlendirmek için yapılan güvenli bir görüntüleme yöntemidir.

Kendi görüşünü yaz
  • Henüz yorum yapılmadı
  • Sadece kayıtlı kullanıcılar yorum yazabilir
Sadece kayıtlı kullanıcılar yorum yazabilir